
2025 – Possible Inguinal hernia symtoms discovered
Possible Inguinal hernia symtoms discovered after getting a swollen lump on my bottom right side of my body.
Initially I thought it could be a swollen right kidney issue.
Doctor said if it is kidney issue, the pain should be on the back and not in the front.
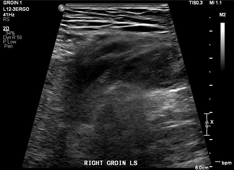
After seeing an Urologist, he suspect it is Inguinal Hernia and ordered an ultrasound scan in June 2025.

Ultrasound scan confirmed a 2.3cm hole in my tummy.
Planned surgery in Nov. 2025
See video on how Hernia is repaired via surgery:
https://youtube.com/shorts/S72yt445hbA?si=CJ6RPNt9eew5DcAW
https://youtu.be/2-0DhY0AyvQ?si=A-SA2SqByKzQ71Dg








